
Smile More, Pay Less for Clear Aligners
Join us on Monday, March 9th, 2026, for big savings on a brighter smile.
This year, we are excited to offer $500 OFF to the first 50 people who sign up for our ClearCorrect Day! In addition, we are holding a drawing for one lucky winner to receive a FREE ClearCorrect® Case. To enter for a chance to win this giveaway, simply fill out the form below to secure your spot.
If you have previously received ClearCorrect® aligners from Braydich Dental, you are still eligible to enter for a chance to win the case! The giveaway is open to all patients.
What You'll Receive:
- $500 off clear aligners
- 3 free tubes of teeth whitening gel
- A chance to win a free ClearCorrect® case
- A bright and confident smile
How to Claim This Offer
To take advantage of these super savings, be one of the first 50 people to fill out the form below. Hurry – spots are filling fast!
Common Questions About Clear Aligners
What are clear aligners?
Clear aligners are made of a clear, flexible plastic that moves teeth into a better position by applying careful, controlled force. Wearing these custom-made clear aligners will gradually and gently straighten your smile without any metal brackets or wires. Plus, you can remove clear aligners when eating (unlike braces), so there are no diet restrictions.
Over time, you simply switch to a new set of aligners every few weeks and visit our office every six weeks to monitor progress.
How do I know if clear aligners are right for me?
If you’re experiencing misalignment, crowding, or gapping in your teeth, clear aligners are an effective treatment option. And if you are one of the first 50 people to submit the form on this page, you’ll receive $500 OFF your aligners. Smile more, pay less.
After receiving $500 off, how do I pay the rest?
At Braydich Dental, we’re committed to ensuring that every patient can receive the dental care they need. If you don’t have dental insurance, we offer payment plans for procedures that align with your budget.
Why should I choose Braydich Dental?
At Braydich Dental, we’re committed to helping you achieve a smile you love. We have the experience and equipment necessary to perform a variety of cosmetic dental procedures right in our office.
How do I learn more?
If you have any questions, give us a call at (330) 286-9301 or visit our office at 45 E Liberty St in Hubbard, OH.
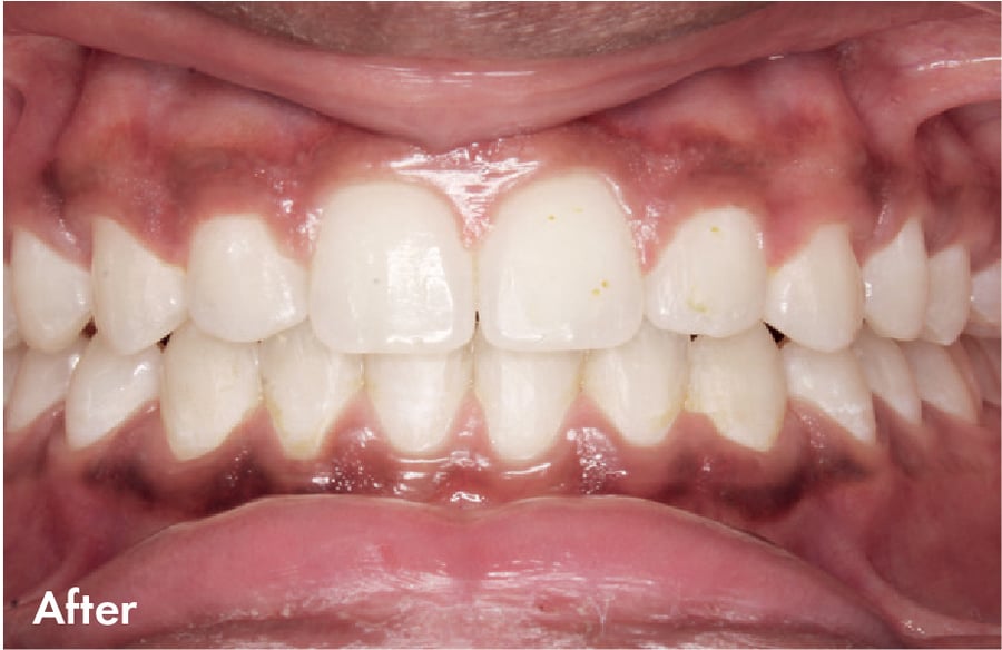
Before and After Clear Aligners

IS MY INSURANCE ACCEPTED BY BRAYDICH DENTAL?
We work with many insurance carriers to ensure all necessary dental treatment is covered. Below are the main insurance companies we are currently In-Network with.
Our Insurance Carriers
• Delta Dental
• Premier Liberty Dental
If you don’t see your insurance listed, we recommend calling our office at 330-286-9301 for assistance. Our knowledgeable and friendly staff is ready to conduct a complimentary benefits check upon your first visit. We will also submit our claims to your insurance carrier.
